Discover Your Best Smile & Save BIG—Join Our Invisalign Open Day on Friday May 15th
Limited spots available. Learn more and Register your interest here
Smile again with confidence
Dental implants at The Dental Surgery Burnham
Replace missing teeth with a long-lasting solution and smile with confidence for life.
Natural-looking, long-lasting results planned around your final smile
Fully tailored implant solutions using CBCT and digital scanning for 3D planning
Tailored treatment options from single implants to advanced rehabilitation cases
Flexible finance options to support your personalised treatment journey
Dr Nick Dhaliwal
Implant Practitioner at The Dental Surgery Burnham
Dr Nick Dhaliwal is a certified Invisalign clear braces provider. A lot of my clinical time is dedicated to Invisalign treatment. I really enjoy crafting bespoke smiles with Invisalign clear braces followed by teeth whitening and tooth contouring. This type of treatment is currently a very effective way of really changing someone’s life.
Your 6-Step Dental Implant Journey with The Dental Surgery Burnham
Meet with our experienced implant dentist, Dr Nick, to discuss your goals, assess suitability, and carry out a detailed clinical evaluation.
Using CBCT imaging and intraoral scans, we create a precise 3D plan—positioning implants based on your final restorative outcome.
Your treatment is carefully tailored, including any necessary site development such as extractions or bone grafting to ensure a stable foundation.
Where appropriate, digitally guided surgery is used to place your implant with enhanced precision, safety, and predictability.
Digital workflows and scanning are used to design and create a natural-looking, perfectly fitting crown aligned with your smile.
Ongoing reviews and professional support help protect your implant and ensure long-lasting function and aesthetics.
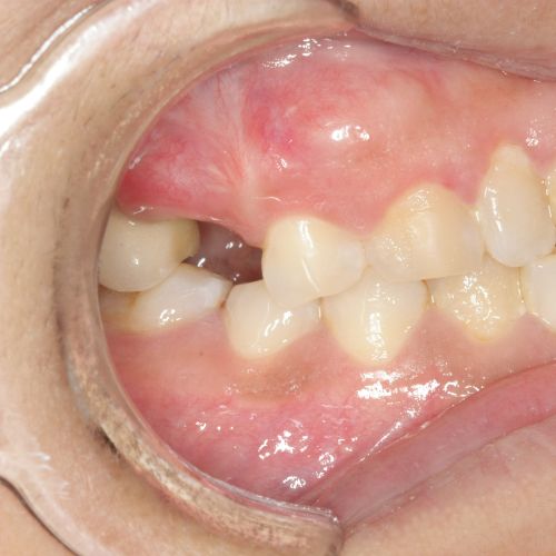
From Digital Planning to Final Result
Each implant is digitally planned in 3D, based on the final restoration, before any treatment begins.
Before and after Dental implants




What are dental implants?
Dental implants are a fixed solution for replacing missing or non-restorable teeth. A titanium implant is placed into the jaw to act as a root, supporting a crown that restores function and appearance.
Treatment begins with a comprehensive assessment using CBCT imaging and intraoral scans to evaluate bone levels and plan implant positioning around the final restoration.
Dental Implant Process: From Consultation to Crown Placement
A dental implant replaces the root of a missing tooth using a titanium fixture placed into the jawbone. Over time, the implant integrates with the surrounding bone to provide a stable foundation.
Treatment is planned using detailed clinical assessment and digital imaging to ensure accurate positioning in relation to the final restoration. Once healing is complete, a custom-made crown is fitted to restore function and appearance. A temporary restoration may be provided during the healing phase where appropriate.
Dental implants allow for predictable, long-term tooth replacement, restoring function without involving adjacent teeth.
Testimonials
⭐️ Patient Reviews
See what real patients have to say about their experience at The Dental Surgery Burnham.
EXCELLENT Based on 353 reviews Posted on Carole Johnson29 September 2025Trustindex verifies that the original source of the review is Google. Always receive really good, professional treatment and advice from Alex. The young receptionist (Chineme?) is also a credit to the practice.Posted on Sandra Harry29 September 2025Trustindex verifies that the original source of the review is Google. Very friendly staff, my Dentist is friendly, kind and caring. Easy to get appointments and always fit you in if it's a emergency.Posted on Pierre25 September 2025Trustindex verifies that the original source of the review is Google. Very good and useful advices, well equipped, clean areas, friendly staff. I like and would recommend the surgeryPosted on Humzah Lopez25 September 2025Trustindex verifies that the original source of the review is Google. Alex and Judith were very helpfulPosted on Denis Swiatek24 September 2025Trustindex verifies that the original source of the review is Google. I visited one of the Hygienists yesterday who was very thorough and did a great job cleaning my teeth.Posted on Steve Neale24 September 2025Trustindex verifies that the original source of the review is Google. The Hygenist Judit is great - she really pays attention to detail and keeps my teeth and gums healthy.Posted on Roberta Edginton24 September 2025Trustindex verifies that the original source of the review is Google. My hygenist and dentist are both lovely and perform to the highest professional standards.Posted on Terry Rose23 September 2025Trustindex verifies that the original source of the review is Google. Just wanted to say that nam the dentist was very helpful and understanding it helped that he is a Liverpool supporter put me at ease Thank you for your service TerryPosted on E Smith22 September 2025Trustindex verifies that the original source of the review is Google. Had a regular check up today, thankfully all ok 😁 Pleasant experience. NHS patient.
